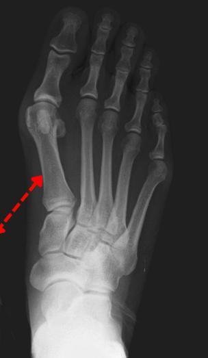
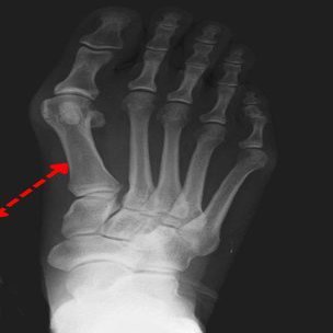
外反母趾に対するテーピングは効果があるのか?
外反母趾でお困りの方がまず試すのが「テーピング」。
しかし、
-
テーピングで親指は一時的に真っすぐになるけれど、すぐ戻ってしまう
-
歩くとまた痛みが出る
-
毎日貼るのが負担になるわりに効果を感じにくい
こうした声は非常に多いです。
なぜテーピングだけでは外反母趾が改善しないのでしょうか?
結論、
外反母趾の根本原因 “距骨下関節の過回内(オーバープロネーション)” にアプローチしていないから です。

▼ 過回内が起こるとどうなるか?
-
土踏まずが低下し内側アーチが潰れる(扁平足)
-
距骨が内側・前方へ滑り込み足部が内に倒れ込む
-
中足骨(とくに第 1 中足骨)が内側へ逃げる
-
結果として母趾が外側へ押し出される(外反角増大)

つまり、
親指が曲がっているのは「結果」であって、原因はもっと上流にある わけで、ただ単にテーピングで母趾を矯正しても根本的な解決にはなり得ません。
外反母趾の発生メカニズムの始めである位置「過回内」を改善することが望ましいです。
当院では
・動きが悪くっている関節の調整
・機能的運動
・機能性の高いシューズ
・過回内を改善するための医療用矯正インソール
等の複合アプローチで改善へ導きます。
外反母趾でお困りの方は当院へご相談ください!
〜名古屋千種のエルスパーク千種〜
エルスパーク千種に電話をかける
「ホームページを見ました」とお気軽にご連絡ください。他のお客様の対応中は出られませんので、こちらから折り返しご連絡いたします。
痛みのない快適な毎日を手に入れましょう。
この記事へのコメントはありません。